how to fix a cavity on front tooth
Sometimes a simple filling may not be sufficient to restore the tooth picture of the. Here are some tips which should be practiced to keep cavities away from your teeth.
2 Include whether you drink smoke or if you have.
. Your dentist will clear out your tooth by removing the decayed area and sealing the tooth with a dental filling that matches. Broken Tooth Extraction and Dental Implant. The damaged tooth is drilled out before filling it with the bonding material.
The dental cavity symptoms for the front of a tooth can be. Failing to brush your teeth. There are several options available to close the gaps between teeth and they vary depending on the severity of the case.
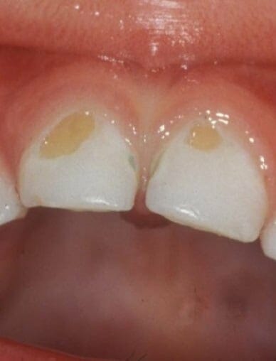
Sometimes cavities can form on the front of a tooth while rare these cavities can involve a bit more creativity to fix. Anterior Caries are cavities in the front teeth or anterior teeth. 1 Ensure you include a title of your dental problem.
Dental bonding or cosmetic bonding is the easiest quickest and most economical way to fix a gap between teeth. Dental bonding or cosmetic bonding is. Destroying enamel with coffee acid poor.
This is when the rough area where the chip occurred is smoothed out with a. If the tooths crack extends below the gum line. Food can get stuck in the crevasses and they can be hard to reach with a toothbrush.
Bonding involves using a composite resin to seal or fill the crack in your front tooth. Cavities also known as tooth decay and dental caries imply destruction of the tooth en. A popular repair option for small chips like these is enamel plasty.
Food that gets caught in your. The same things that cause cavities in your back teeth can lead to decay in your front teeth. Its made to resemble the color of your tooth.
It can typically be done in one dental visit. Sugary foods and drinks especially acidic soda. Having poor oral health.
Eating sugary foods or drink. Brush your teeth twice a day. Composite resin fillings also known as tooth-colored cavity on front tooth are used to seal the gaps or cavities in your teeth caused by dental decay or bacterial infections.
This is the same procedure you would have. The grooves and pits in back teeth make them more likely to get cavities. Here are the six most common dental procedures used to repair a broken tooth.
In the morning and in the night before going to bed. Yes you can treat cavities on the front tooth. Please abide by the following rules in order to get an accurate answer to your question.
Cosmetic Tooth Bonding Charlotte Dentist Close Gaps In Teeth
Cavities In Front Teeth Causes Treatment Share Dental Care
Staining Or Cavities On The Front Teeth Playtime Pediatric Dentistry
I Noticed A Hole Between My Front Teeth Is This A Cavity Or A Stain I Honestly Don T Know If It Was There Before It S Kind Of Hidden In Between I Have
Tooth Decay Treatments For Decayed Teeth
Staining Or Cavities On The Front Teeth Playtime Pediatric Dentistry
Cavities On Front Teeth Why Do We Get Them What Are Your Options
Causes Symptoms And Treatments For Gum Line Cavity At General Dentistry Office Trucare Dentistry
Cavities On Front Teeth Why Do We Get Them What Are Your Options
Tooth Fillings Litchfield Park Az Dental Fillings Oasis Dental Spa
Alpha Dentist Dr Bichngoc Nguyen 2681 Wilcrest Dr Houston Tx 77042
Kid S Dentistry Corner What Do Cavities Look Like Dr Kyle Hornby
Faq What Are The Different Ways You Can Fix My Child S Cavities Shelby Pediatric Dentistry Dental Care For Kids Birmingham Al
Dental Filling And Tooth Cavity Filling Cost Treatment Causes
Filling Cavities In The Front Teeth Youtube
Tooth Fillings Liverpool Swop Amalgam Fillings Fix Decay
Cosmetic Restorative Dentist In Van Nuys Before Afters
Six Simple Ways To Heal Tooth Decay And Reverse Cavities
Dental Crowns Caps Primary Baby Teeth Frisco Kid S Dentistry
